■サンプル写真(詳細)■
対物5x,10x,20x,40x、撮影レンズ3.3xで撮影しています
標本が大きく対物5xでも全体が入らないもの
標本が小さく対物40xでは撮影出来ないもの
タイトルと異なる場所を撮影したものがあります
予めご了承ください

001−Human,Simple columnar epithelium【単層円柱上皮】【人体組織・プレパラート標本(正常ミニセット)】

002−Human,Stratified pavement epithelium【重層扁平上皮】【人体組織・プレパラート標本(正常ミニセット)】

003−Human,Simple cuboidal epithelium【単層立方上皮】【人体組織・プレパラート標本(正常ミニセット)】

004−Human,Human blood s.m【血液(塗抹標本)】【人体組織・プレパラート標本(正常ミニセット)】

005−Human,Bone marrow, c.s【骨髄(横断)】【人体組織・プレパラート標本(正常ミニセット)】

006−Human,Loose connective tissue w.m【疎性結合組織(全組織標本)】【人体組織・プレパラート標本(正常ミニセット)】

007−Human,Adipose tissue(special staining)【脂肪組織(特殊染色法)】【人体組織・プレパラート標本(正常ミニセット)】

008−Human,Hyaline cartilage, sec【硝子軟骨(切片)】【人体組織・プレパラート標本(正常ミニセット)】

009−Human,Fibrous cartilage, sec.【線維軟骨(切片)】【人体組織・プレパラート標本(正常ミニセット)】

010−Human,Elastic cartilage, sec.【弾性軟骨(切片)】【人体組織・プレパラート標本(正常ミニセット)】

011−Human,Human skin section through sweat gland, sec.【皮膚[汗腺](切片)】【人体組織・プレパラート標本(正常ミニセット)】

012−Human,Human skin section through hair follicle, sec.【皮膚[毛包](切片)】【人体組織・プレパラート標本(正常ミニセット)】

013−Human,Separetion mounting of smooth muscle w.m【筋組織[平滑筋](全組織標本)】【人体組織・プレパラート標本(正常ミニセット)】

014−Human,Smooth muscle ,c.s and long section, c.s
【筋組織[平滑筋](横断) and 長断片(横断)】【人体組織・プレパラート標本(正常ミニセット)】

015−Human,Separetion mounting of skeletal muscle w.m
【筋組織[骨格筋](全組織標本)】【人体組織・プレパラート標本(正常ミニセット)】

016−Human,Cardiac muscle ,sec.(hematine)
【心筋(切片)(ヘマチン)】【人体組織・プレパラート標本(正常ミニセット)】

017−Human,Feeler body【フィラー体】【人体組織・プレパラート標本(正常ミニセット)】

018−Human,Cerebrum,sec.(silvering)【大脳(切片)(銀染色)】【人体組織・プレパラート標本(正常ミニセット)】

019−Human,Cerebellum ,sec.(silver staining)
【小脳(切片)(銀染色)】【人体組織・プレパラート標本(正常ミニセット)】

020−Human,Heart sec.【心臓(切片)】【人体組織・プレパラート標本(正常ミニセット)】

021−Human,Large artery ,sec.【大動脈(切片)】【人体組織・プレパラート標本(正常ミニセット)】

022−Human,Large vein sec.【大静脈(切片)】【人体組織・プレパラート標本(正常ミニセット)】

023−Human,Spleen ,sec.【脾臓(切片)】【人体組織・プレパラート標本(正常ミニセット)】

024−Human,Thymus,sec.【胸腺(切片)】【人体組織・プレパラート標本(正常ミニセット)】

025−Human,Tonsil,sec.【扁桃(切片)】【人体組織・プレパラート標本(正常ミニセット)】

026−Human,Thyroid ,sec.【甲状腺(切片)】【人体組織・プレパラート標本(正常ミニセット)】

027−Human,Epithelial body,sec.【上皮体(切片)】【人体組織・プレパラート標本(正常ミニセット)】

028−Human,Adrenal gland ,sec【副腎(切片)】【人体組織・プレパラート標本(正常ミニセット)】

029−Human,Tongue sec. (show internal structure ,pictured above )
【舌(切片)(内部構造)】【人体組織・プレパラート標本(正常ミニセット)】

030−Human,Esophagus ,sec.【食道(切片)】【人体組織・プレパラート標本(正常ミニセット)】

031−Human,Stomach wall,sec.【胃壁(切片)】【人体組織・プレパラート標本(正常ミニセット)】

032−Human,Small intestine ,sec.【小腸(切片)】【人体組織・プレパラート標本(正常ミニセット)】

033−Human,Colon ,sec.【結腸(切片)】【人体組織・プレパラート標本(正常ミニセット)】

034−Human,Appendix ,sec.【虫垂[盲腸](切片)】【人体組織・プレパラート標本(正常ミニセット)】

035−Human,Salivary gland ,sec.【唾液腺(切片)】【人体組織・プレパラート標本(正常ミニセット)】

036−Human,Liver,sec.【肝臓(切片)】【人体組織・プレパラート標本(正常ミニセット)】

037−Human,Lung ,sec.【肺(切片)】【人体組織・プレパラート標本(正常ミニセット)】

038−Human,Kidney,sec.【腎臓(切片)】【人体組織・プレパラート標本(正常ミニセット)】

039−Human,Trachea,c.s【気管(縦断) 】【人体組織・プレパラート標本(正常ミニセット)】

040−Human,Kidney with Blood Vessel Injected sec.
【腎臓(with Blood Vessel Injected) (切片)】【人体組織・プレパラート標本(正常ミニセット)】

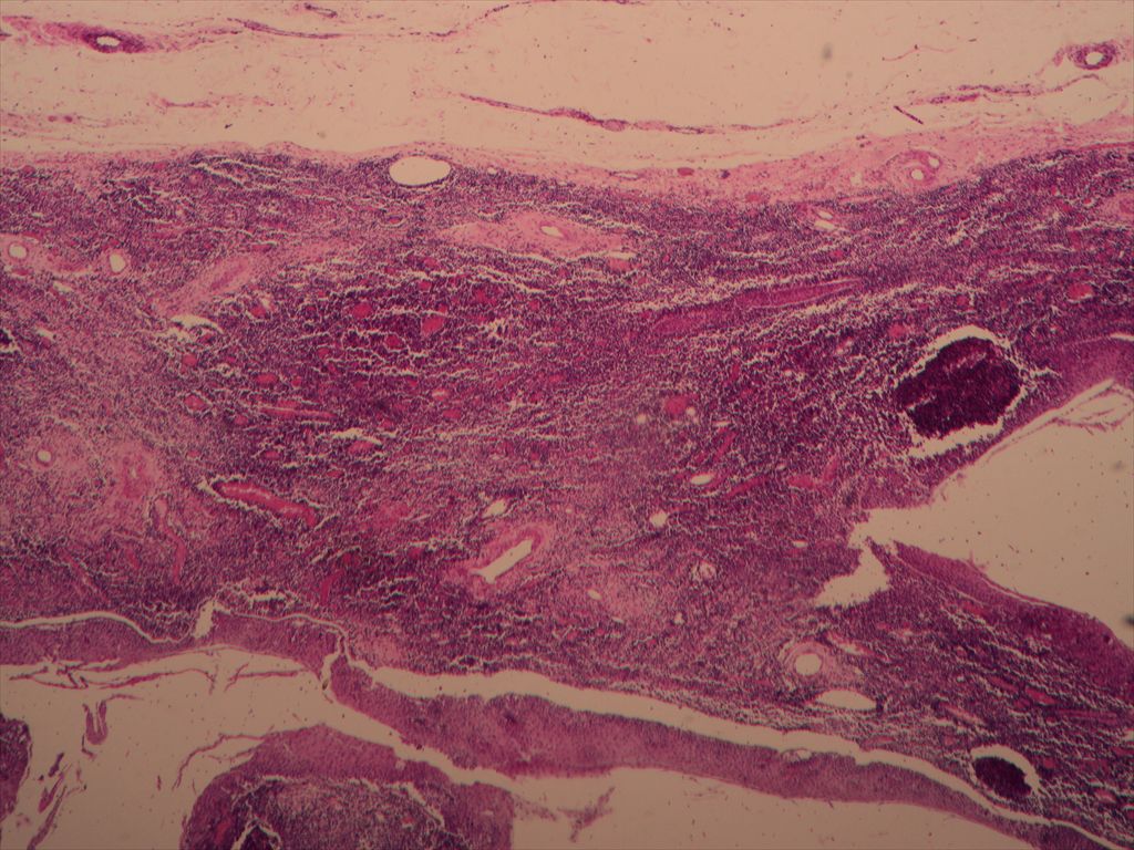
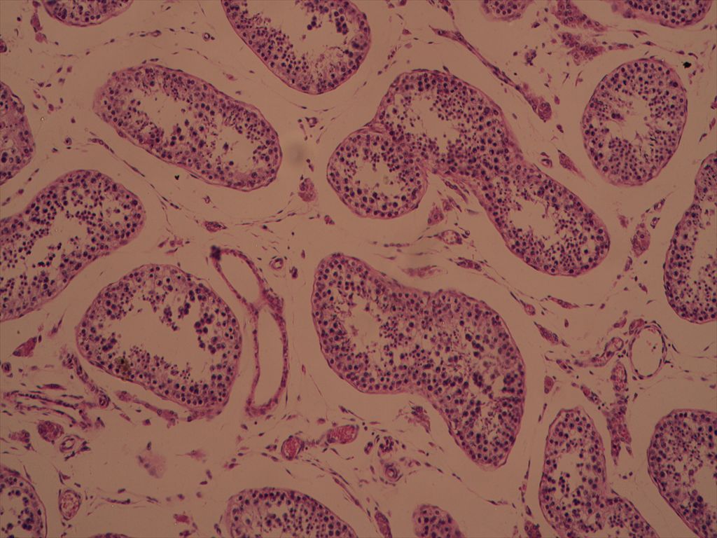
041−Human,Testis ,sec.【精巣(切片)】【人体組織・プレパラート標本(正常ミニセット)】

042−Human,Epididymis ,sec.【精巣上体(切片)】【人体組織・プレパラート標本(正常ミニセット)】

043−Human,Deferent duct ,c.s【精管(縦断) 】【人体組織・プレパラート標本(正常ミニセット)】

044−Human,Ovaries ,sec.【卵巣(切片)】【人体組織・プレパラート標本(正常ミニセット)】

045−Human,Womb ,sec.【子宮(切片)】【人体組織・プレパラート標本(正常ミニセット)】

046−Human,Fallopian tube ,c.s【卵管(縦断) 】【人体組織・プレパラート標本(正常ミニセット)】

047−Human,Vagina ,sec.【膣(切片)】【人体組織・プレパラート標本(正常ミニセット)】

048−Human,Placenta,sec.【胎盤(切片)】【人体組織・プレパラート標本(正常ミニセット)】

049−Human,Pituitary ,sec.【下垂体(切片)】【人体組織・プレパラート標本(正常ミニセット)】

050−Human,Bone grinding, sec.【骨(研磨)(切片)】【人体組織・プレパラート標本(正常ミニセット)】
以上
 |