■サンプル写真(詳細)■
対物5x,10x,20x,40x、撮影レンズ3.3xで撮影しています
標本が大きく対物5xでも全体が入らないもの
標本が小さく対物40xでは撮影出来ないもの
タイトルと異なる場所を撮影したものがあります
予めご了承ください
またホームページ容量の関係で、サンプル写真は40%に解像度を下げて有ります
また撮影装置の性能で鮮明に撮影出来ない写真もふくまれます
■組織■

016−Human Chromosome Nonmal Female w.m【女性正常染色体(全組織標本)】【人体組織・正常組織・プレパラート標本】

017−Human Chromosome Nonmal Male w.m【男性正常染色体(全組織標本)】【人体組織・正常組織・プレパラート標本】


018−Medulla oblongata sec【延髄(切片)】【人体組織・正常組織・プレパラート標本】


019−Red marrow smear【赤色骨髄(塗抹標本)】【人体組織・正常組織・プレパラート標本】

020−Smooth Muscle Teased Preparation w.m【平滑筋 (全組織標本)】【人体組織・正常組織・プレパラート標本】

021−Blood smear 【血液(塗抹標本)】【人体組織・正常組織・プレパラート標本】

022−Hair whole mount【髪(全組織標本)】【人体組織・正常組織・プレパラート標本】


023−Smooth Muscle l.s and c.s【平滑筋 (横断)(縦断)】【人体組織・正常組織・プレパラート標本】


024−Skeletal Muscle l.s and c.s【骨格筋(横断)(縦断)】【人体組織・正常組織・プレパラート標本】


025−Cardiac Muscle sec【心筋(切片)】【人体組織・正常組織・プレパラート標本】


026−Spinal Card l.s and c.s【脊髄(横断)(縦断)】【人体組織・正常組織・プレパラート標本】


027−Sciatic nerve l.s.【坐骨神経 (縦断)】【人体組織・正常組織・プレパラート標本】


028−Motor neuron w.m【運動神経(全組織標本)】【人体組織・正常組織・プレパラート標本】

029−Motor Nerve Endings w.m【運動神経終末(全組織標本)】【人体組織・正常組織・プレパラート標本】


030−Tongue l.s. show filiform papilla 【舌(縦断)糸状乳頭】【人体組織・正常組織・プレパラート標本】


031−Esophagus sec.【食道(切片)】【人体組織・正常組織・プレパラート標本】


032−Trachea sec.【気管(切片)】【人体組織・正常組織・プレパラート標本】


033−Stomach sec.【胃(切片)】【人体組織・正常組織・プレパラート標本】


034−Stomach fundic portion sec.【胃底部分(切片)】【人体組織・正常組織・プレパラート標本】


035−Stomach Cardiac Region sec.【胃心臓部(切片)】【人体組織・正常組織・プレパラート標本】


036−Stomach Pyloric Region sec.【胃幽門領域(切片)】【人体組織・正常組織・プレパラート標本】


037−Small Intestine c.s【小腸(横断)】【人体組織・正常組織・プレパラート標本】


038−Duodenum sec.【十二指腸(切片)】【人体組織・正常組織・プレパラート標本】


039−Jejunum sec.【空腸(切片)】【人体組織・正常組織・プレパラート標本】


040−Ileum c.s. show villi and goblet cells【回腸(横断)絨毛と杯細胞】【人体組織・正常組織・プレパラート標本】


041−Appendix sec.【虫垂(切片)】【人体組織・正常組織・プレパラート標本】


042−Large Intestine sec.【大腸(切片)】【人体組織・正常組織・プレパラート標本】


043−Colon sec.【結腸(切片)】【人体組織・正常組織・プレパラート標本】


044−Rectum sec.【直腸(切片)】【人体組織・正常組織・プレパラート標本】


045−Pancreas sec.【膵臓 (切片)】【人体組織・正常組織・プレパラート標本】


046−Spleen sec【脾臓(切片)】【人体組織・正常組織・プレパラート標本】


047−Liver sec【肝臓(切片)】【人体組織・正常組織・プレパラート標本】


048−Gall Bladder sec【胆嚢(切片)】【人体組織・正常組織・プレパラート標本】


049−Fat layer【脂肪層】【人体組織・正常組織・プレパラート標本】


050−Fibroblast【線維芽細胞】【人体組織・正常組織・プレパラート標本】

051−Nerve cells 【神経細胞 】【人体組織・正常組織・プレパラート標本】

052−Brochiolus 【細気管支】【人体組織・正常組織・プレパラート標本】

053−Lung sec【肺(切片)】【人体組織・正常組織・プレパラート標本】


054−Artery sec【動脈(切片)】【人体組織・正常組織・プレパラート標本】


055−Vein sec 【静脈(切片)】【人体組織・正常組織・プレパラート標本】

056−Large artery sec【大動脈(切片)】【人体組織・正常組織・プレパラート標本】

057−Large vein sec【大静脈(切片)】【人体組織・正常組織・プレパラート標本】


058−Heart l.s.whole【心臓(縦断)】【人体組織・正常組織・プレパラート標本】


059−Kidney l.s【腎臓(縦断)】【人体組織・正常組織・プレパラート標本】


060−Kidney with Blood Vessel Injected sec.【腎臓血管注射(切片)】【人体組織・正常組織・プレパラート標本】


061−Ureter sec.【尿管 (切片)】【人体組織・正常組織・プレパラート標本】


062−Ovary sec.【卵巣 (切片)】【人体組織・正常組織・プレパラート標本】


063−Placenta Human sec.【胎盤(切片)】【人体組織・正常組織・プレパラート標本】

064−Human Sperms smear【精子(塗抹標本)】【人体組織・正常組織・プレパラート標本】


065−Epididymis sec【精巣上体 (切片)】【人体組織・正常組織・プレパラート標本】


066−Prostate Gland Human sec.【前立腺(切片)】【人体組織・正常組織・プレパラート標本】


067−Fallopian Tube sec【卵管(切片)】【人体組織・正常組織・プレパラート標本】


068−Penis c.s【陰茎(横断)】【人体組織・正常組織・プレパラート標本】


069−Cervix sec【頸部(切片)】【人体組織・正常組織・プレパラート標本】


070−Thyroid Gland sec【甲状腺(切片)】【人体組織・正常組織・プレパラート標本】


071−Thymus Gland sec【胸腺(切片)】【人体組織・正常組織・プレパラート標本】


072−Mammary gland sec【乳腺(切片)】【人体組織・正常組織・プレパラート標本】


073−Adrenal Gland sec【副腎(切片)】【人体組織・正常組織・プレパラート標本】


074−Lymph Node sec【リンパ節(切片)】【人体組織・正常組織・プレパラート標本】


075−Salivary gland c.s.【唾液腺(横断)】【人体組織・正常組織・プレパラート標本】


076−Cerebrum sec【大脳(切片)】【人体組織・正常組織・プレパラート標本】


077−Cerebellum sec【小脳(切片)】【人体組織・正常組織・プレパラート標本】


078−Pituitary gland c.s.【下垂体(横断)】【人体組織・正常組織・プレパラート標本】


079−Tendon teased c.s.【腱(横断)】【人体組織・正常組織・プレパラート標本】


080−eye entail sec【眼球(切片)-1】【人体組織・正常組織・プレパラート標本】


081−Eyeball sec【眼球(切片)-2】【人体組織・正常組織・プレパラート標本】


082−Human Skin sec show Thick Cornifie Layer【皮膚(切片)厚い角化層】【人体組織・正常組織・プレパラート標本】


083−Human Skin Sec Through sweat Gland【皮膚(切片)汗腺】【人体組織・正常組織・プレパラート標本】


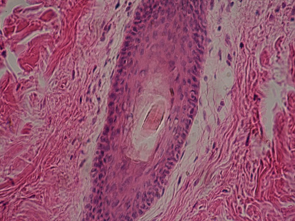
084−Human Skin Sec Through Hair Folicle【皮膚(切片)毛包】【人体組織・正常組織・プレパラート標本】

085−White fibrous tissue【白色線維組織】【人体組織・正常組織・プレパラート標本】


086−Mucous tissue ,umbilical cord【粘液組織、臍帯】【人体組織・正常組織・プレパラート標本】


087−Decalcified bone c.s.【脱灰骨(横断)】【人体組織・正常組織・プレパラート標本】


088−Infant developing bone section【幼児の発育過程の骨】【人体組織・正常組織・プレパラート標本】


089−Developing membrane bone【発育過程の膜骨】【人体組織・正常組織・プレパラート標本】


090−muscle-tendon junction l.s.【筋腱接合部(縦断)】【人体組織・正常組織・プレパラート標本】


091−muscle spindle【筋紡錘】【人体組織・正常組織・プレパラート標本】


092−Nerve bundle【神経束】【人体組織・正常組織・プレパラート標本】


093−sympathetic ganglion 【交感神経節 】【人体組織・正常組織・プレパラート標本】


094−motor cortex section【運動皮質(切片)】【人体組織・正常組織・プレパラート標本】


095−sentor cortex【感覚皮質】【人体組織・正常組織・プレパラート標本】


096−cerebellar cortex【小脳皮質】【人体組織・正常組織・プレパラート標本】


097−Palatine tonsil【口蓋扁桃】【人体組織・正常組織・プレパラート標本】


098−thin skin from human palm section【手の薄い皮膚(切片)】【人体組織・正常組織・プレパラート標本】


099−finger nail section【指の爪 (切片)】【人体組織・正常組織・プレパラート標本】


100−stomach -duodenal junction l.s.【胃-十二指腸接合部(縦断)】【人体組織・正常組織・プレパラート標本】
■上皮・結合組織■

 001−Simple squamous Epithelium sec.【単層扁平上皮(切片)】【人体組織・正常組織・プレパラート標本】


002−Simple Cuboidal Epithelium sec.【単層立方上皮(切片)】【人体組織・正常組織・プレパラート標本】


003−Simple Columna Epithelium sec【単層円柱上皮(切片)】【人体組織・正常組織・プレパラート標本】


004−Columna Pseudo strtified cillated epithelium 【円柱偽重層上皮】【人体組織・正常組織・プレパラート標本】


005−Stratified squamous Epithelium sec【重層扁平上皮(切片)】【人体組織・正常組織・プレパラート標本】


006−Transitionl Epethelium sec【移行上皮(切片)】【人体組織・正常組織・プレパラート標本】


007−Ciliated Epithelium 【線毛上皮 】【人体組織・正常組織・プレパラート標本】


008−Epidermis from human mouth【表皮口】【人体組織・正常組織・プレパラート標本】


009−Glandular Epithelium sec【腺上皮(切片)】【人体組織・正常組織・プレパラート標本】


010−Loose Connective Tissue w.m【疎結合組織(全組織標本)】【人体組織・正常組織・プレパラート標本】


011−Dense Connective Tissue w.m【緻密結合組織(全組織標本)】【人体組織・正常組織・プレパラート標本】


012−Adipose Tissues sec.【脂肪組織(切片)】【人体組織・正常組織・プレパラート標本】


013−Hyaline Cartilage sec.【硝子軟骨(切片)】【人体組織・正常組織・プレパラート標本】


014−Elastic Cartilage sec.【弾性軟骨(切片)】【人体組織・正常組織・プレパラート標本】


015−Fibro Cartilage sec.【線維軟骨(切片)】【人体組織・正常組織・プレパラート標本】
以上
 |